País-Mundo
Ehrliquiosis, infección que se desarrolla por contacto con animales
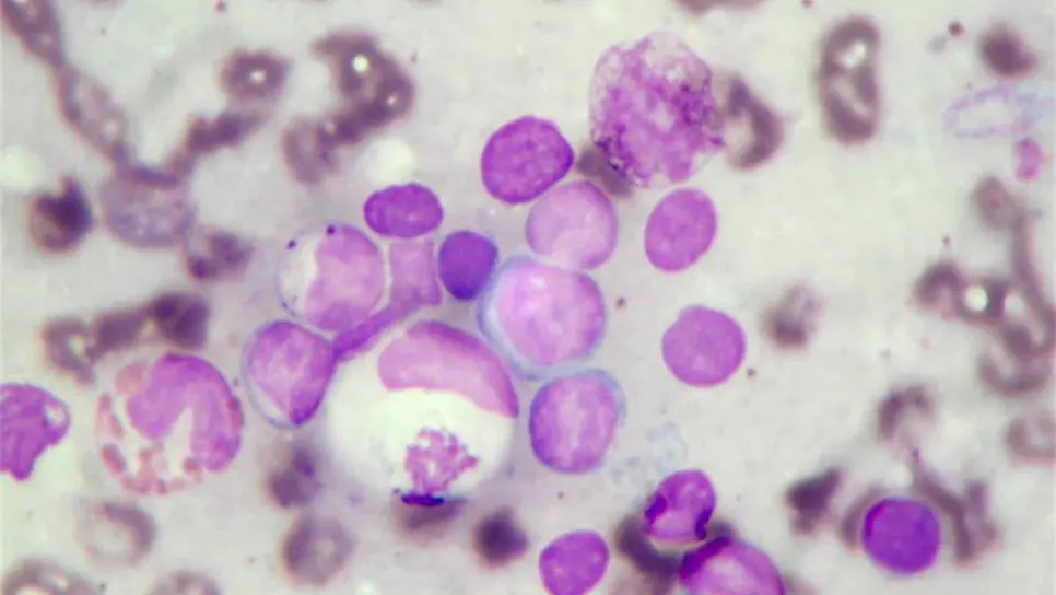
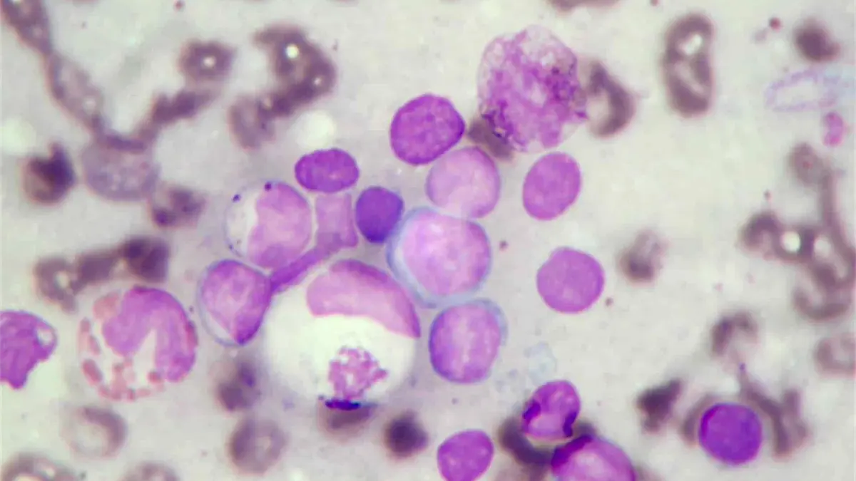
Las bacterias Ehrlichia, que habitan en los glóbulos blancos de la sangre, son más frecuentes en el sudeste y el centro meridional de Estados Unidos y Europa.

Ciudad de México.- Las ehrliquiosis son infecciones transmitidas por la picadura de una garrapata, en algunas ocasiones, por el contacto con animales que las transportan y pueden causar síntomas como fiebre, escalofríos, dolor de cabeza y malestar en general.
Las bacterias Ehrlichia, que habitan en los glóbulos blancos de la sangre, son más frecuentes en el sudeste y el centro meridional de Estados Unidos y Europa. Aparecen entre la primavera y finales de otoño, cuando las garrapatas son más activas, de acuerdo con el Manual de Merck de Información Médica General.
Los síntomas se inician una o dos semanas después de la picadura del ectoparásito e incluyen escalofríos, fiebre, dolor de cabeza y dolor corporal. A medida que la enfermedad progresa, pueden aparecer vómitos, diarreas, convulsiones, confusiones, tos, dificultades respiratorias e incluso coma.
Los médicos realizan un análisis de sangre, en el cual pueden detectar una disminución en el recuento de glóbulos blancos, un número de plaquetas por debajo de los valores correctos y anomalías de coagulación.
El tratamiento se basa en la dosis de fármacos. Cuando se inicia de forma oportuna las personas responden adecuadamente, de lo contrario, pueden desarrollar complicaciones graves, incluyendo la muerte en un dos y cinco por ciento de los casos.
Te puede interesar:
MÁS NOTICIAS DE País-Mundo










