País-Mundo
Niño se traga pila, está grave; piden ayuda
Un pequeño se apenas 2 años se debate entre la vida y la muerte, se tragó una pila y le quemó el esófago.

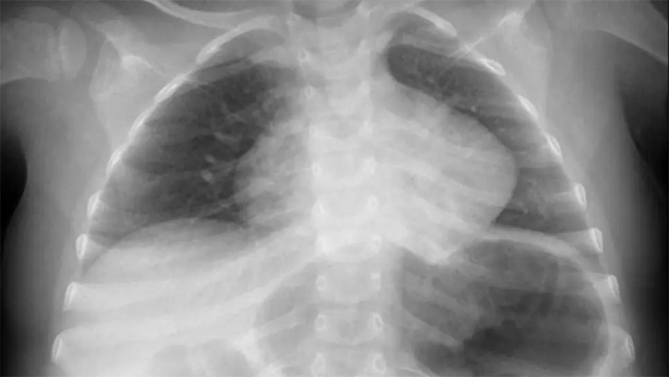
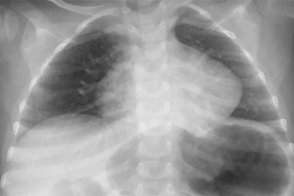
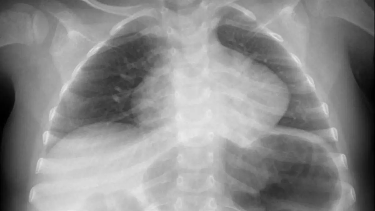
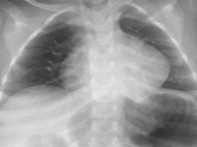
El pequeño Dylan, de apenas 2 años de edad, está delicado, ya que sufrió quemaduras graves en su esófago e infección en un pulmón, debido a que se tragó una pila, esto ocurrió en Hermosillo, Sonora.
Desesperada su madre, Nayeli Coronado, pide apoyo para salvar la vida de su hijo, ya que está internado desde el pasado 23 de octubre en el Hospital Infantil del Estado de Sonora (HIES).

De acuerdo, a información de El Universal, la familia del pequeño, residente de la colonia Mesa Sur de Cananea, a través de las redes sociales solicita ayuda a la comunidad sonorense.
La pila reventó en el interior de su organismo y provocó quemaduras en su estómago e infección en un pulmón.
La madre de Dylan, explicó que en un principio que lo llevó al Hospital de Cananea porque el niño presentaba dificultad para respirar y ahí le notificaron que había ingerido una pila.
Posteriormente, fue trasladado al HIES donde a través de diferentes aparatos oxigenan su sangre para poder operarlo.
Si deseas apoyar a Dylan y su madre para pagar todos los gastos que conlleva la difícil situación, el telefono de Nayely es: 645 105 7293.
Que puede pasar al tragarse una pila:
- Un niño se mete en la boca se puede quedar atascada en la tráquea
- Obstruir el paso del aire, impidiendo que respire.
- Las sustancias químicas de las pilas de botón pueden causar graves quemaduras cuando se tragan
- Quedan atascadas en el cuerpo.
Te puede interesar:
MÁS NOTICIAS DE País-Mundo










