País-Mundo | 07/04/2018 | Luz Noticias

Ciudad de México.- Un grupo de investigadores de la Universidad de Copenhague, Dinamarca, dio a conocer un nuevo estudio en el que advirtieron que un implante corporal es un nuevo hábitat para bacterias y hongos.
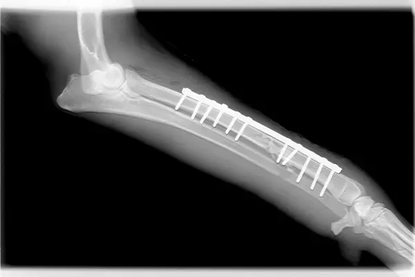
Los especialistas examinaron una serie de implantes, como tornillos utilizados en intervenciones quirúrgicas, e identificaron bacterias y hongos en ellos, a pesar de que los pacientes no han mostrado signos de infección.
En un comunicado, se informó que examinaron 106 implantes y el tejido circundante de diferentes grupos de pacientes y descubrieron que más del 70 por ciento, correspondientes a 78 implantes, fueron colonizados por bacterias, hongos o ambos.
    
    
Lo anterior abre un nuevo campo de investigación y la comprensión de la interacción entre el cuerpo y las bacterias y microbiomas, ya que siempre se había creído que los implantes son completamente estériles.
Los aditamentos estudiados van desde tornillos y rodillas, hasta marcapasos y se trabajó con pacientes de cinco hospitales de la capital de Dinamarca, en diferentes grupos: con aflojamiento aséptico (cirugías de cadera), implantes craneofaciales, fracturas curadas y recién enfermos con implantes.
    
    
De las prótesis examinadas, la mayoría de los tornillos habían sido colonizados por bacterias, y en todos los casos ninguna de las bacterias u hongos eran patógenos como el estafilococo.
"En general, cuando algo se implanta en el cuerpo, simplemente aumenta la probabilidad de desarrollo de bacterias y la creación de un nuevo entorno", aseguró el especialista de la institución, Tim Holm Jakobsen.
    
    
El equipo de investigación, llevó a cabo procesos de control para examinar y asegurar que los implantes no se contaminaran en el proceso de recolección de muestras.
Todos los controles fueron negativos, por lo que los científicos comentaron que la colonización de bacterias y hongos comienza después de que el implante se inserta en el cuerpo.
    
    
En promedio, los implantes examinados habían estado en el cuerpo del paciente durante 13 meses.
La siguiente etapa del estudio es examinar el efecto de las bacterias y los hongos identificados en el cuerpo y el implante.